Wow Dental Studio | Dr Muskaan Saxena- Root Canal specialist, Smile designing Ulwe , Navi Mumbai

Experience exceptional dental care at Wow Dental Studio, Ulwe, Navi Mumbai, where Dr. Muskaan Saxena, a renowned Root Canal specialist, provides top-notch Cosmetic Dentistry services. Our state-of-the-art clinic offers Dental Implants and a wide range of treatments to enhance your smile. Trust our expertise for a confident, healthy grin. Book your appointment today!

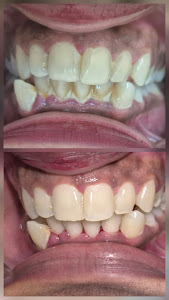
Cover photo of Wow Dental Studio | Dr Muskaan Saxena- Root Canal specialist, Smile designing Ulwe , Navi Mumbai

Customer's reviews

> "I visited "WOW Dental Studio" in ulwe sector 3 Dr. Muskaan Saxsena for my dental issue and had a very positive experience. The doctor is highly professional, explains procedures clearly, and ensures patient comfort throughout. The clinic is clean and well-maintained, and the staff is courteous. I’m very satisfied with the treatment and would definitely recommend Dr. Muskan Mam to anyone looking for a good dentist.Nevertheless, I will recite the people in Ulwe that if there is any problem of teeth, I will definitely go there.thank you so much Dr Muskaan. ~ Roshni K
I recently had my wisdom tooth extraction done at Wow Clinic, and I couldn’t be more pleased with the experience. The entire team was warm, professional, and made me feel completely at ease throughout the process. The dentist explained everything clearly before starting, and the procedure was surprisingly smooth. The clinic itself is clean, comfortable, and well-organized — you can tell they truly care about patient comfort. The follow-up and recovery support were also excellent; they checked in to make sure I was healing well. I’d highly recommend Wow Clinic to anyone looking for a trustworthy and gentle dental care experience! ~ Alizeh K
Dr. Muskaan Saxena is an outstanding dentist who delivers excellent oral care with precision and compassion. Interacting with her was very easuy. Her expertise in dentistry, combined with a gentle and patient-centered approach, creates a positive and comfortable experience for those under her care. Dr. Saxena's attention to detail, commitment to prevenntive measures, and ability to address concerns make her an exceptional choice for dental services. I highly recommend Dr. Muskaan Saxena for anyone in search of a skilled and caring dentist. ~ Abhishek B

Blog

WOW Dental Clinic in Ulwe, Navi Mumbai provides comprehensive dental services including dental care, braces, teeth whitening, and preventive treatmen… Posted on: November 18, 2025

Contact information

Address
Shop No 6 Grand Arena Building, Plot No 160 Sector 2 Ulwe Navi Mumbai 410206
Sunday 10:00 AM - 2:00 PM
Monday 10:00 AM - 9:00 PM
Tuesday 10:00 AM - 9:00 PM
Wednesday 10:00 AM - 9:00 PM
Thursday 10:00 AM - 9:00 PM
Friday 10:00 AM - 9:00 PM
Saturday 10:00 AM - 9:00 PM